Teeth

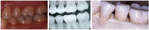
You can easily see your teeth and gums in a mirror. Hidden from view are the nerve and blood vessels that are in the center of a tooth and your jaw bone that surrounds a tooth.

The nerve and blood vessels keep a tooth alive. Tooth decay and fillings, which are traumatic to the nerve and blood vessels, may cause both to die resulting in an abscess that may or may not be painful and swollen. The jaw bone holds a tooth firmly in the jaw and it also supports the gums. When you lose jaw bone, teeth become loose and gums recede. Bone loss can occur because of gum disease (periodontal disease), an abscessed tooth, or an accident.

teeth

A dentist uses X-rays to see the nerve and blood vessels, the jawbone and between-the-teeth cavities. X-rays will not show whether or not the nerve and blood vessels are alive. But an abscess will eventually show up as bone loss around the bottom of the tooth’s root deep within the jaw bone. X-rays also show bone loss due to gum disease. Because it takes awhile to lose enough tooth structure or bone to be visible on an X-ray, between-the-teeth cavities and bone loss caused by an abscess or gum disease may not be evident for several months. A consequence of this time lag is a cavity, an abscess and/or gum disease are frequently much worse than indicated on an X-ray. And, because an X-ray is like a photograph it does not show the extent of a cavity or the loss of jaw bone from the cheek to tongue side. While X-rays are quite valuable, a dentist’s examination and experience are required to interpret them to determine an accurate diagnosis.