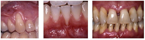
Gum recession on the cheek or lip side of a tooth results in a longer looking tooth. This type of recession may or may not be caused by periodontitis (gum disease).

Gum recession means that there has been some loss of the supporting bone from around the tooth.

Gum recession at between-the-teeth sites results in dark spaces between the teeth and is typically caused by periodontitis. In addition to these effects, gum recession exposes the tooth root and may result in teeth being sensitive to cold and sweets. And, the exposed root surface is much softer than the enamel that covers the crown of the tooth, and is more susceptible to tooth decay.

Natural protection for recession is provided by the thickness of the jaw bone and the type of gum tissue that covers the tooth supporting bone. When gum recession occurs it may mean that the supporting bone may never have been thick enough, was lost through too vigorous brushing over time, or damaged by gum disease or trauma. Recession can usually be repaired through various types of periodontal surgeries. Your dentist may also suggest preventive therapies or surgeries where the conditions are right for recesion to occur.