Gums

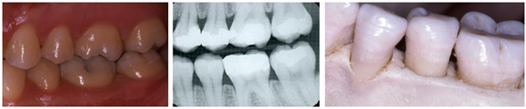
You can easily see your gums and teeth in a mirror. Your gums should be lie flat and feel fairly firm to the touch, and unless the teeth themselves are spaced apart, they come to a point between the teeth so you you not see any open space. If your gums look red, swollen, or bleed when you brush you likely have the mildest form of periodontal (gum)disease called gingivitis. This is caused by certain bacteria in your mouth that form a sticky substance called plaque that clings to your teeth and forms a home for the bacteria, which produces toxins that irritate and inflame the gums. At this point the condition is fairly easy to reverse with good home care and some routine professional care.

Hidden from view is your jaw bone that surrounds and supports the teeth and gums. When you lose the bone from around teeth, they become loose and the gums recede. Bone loss usually occurs when gingivitis is not cared for and it progresses to periodontitis. With periodontitis the gums can separate from the teeth and form pockets or spaces down the sides of the teeth that are difficult if not impossible to take care of with only home care. Eventually the toxins reach and destroy the bone supporting the teeth and when enough bone is lost the tooth becomes loose and may need to be removed. There may not be early symptoms of periodontitis which is why it is important to get regular dental check-ups even if you are not feeling pain or experiencing problems.

Besides checking your gums with a slim instrument called a periodontal probe, the dentist uses x-rays to see the bone around the teeth to determine if bone loss has occurred. While x-rays are quite valuable, a dentist’s complete examination and experience are required to interpret them to determine an accurate diagnosis. Once periodontitis develops regular and routine periodontal maintenance care is vital to maintain long-term health of your gums.

gums